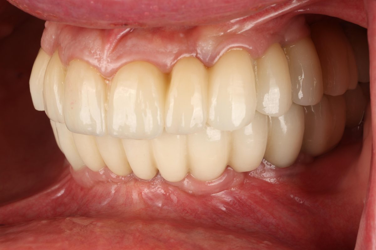
Provisionalización
Las provisionales funcionales son una parte clave de nuestro flujo digital
Más que una solución temporal
Estos provisionales funcionales permiten evaluar la oclusión, fonética y adaptación del paciente. Su diseño debe ser preciso para evitar movimientos dentales no deseados. Además, facilitan ajustes clínicos antes de la prótesis final. Son esenciales en tratamientos complejos o rehabilitaciones extensas.

Estabilidad y previsibilidad desde el inicio
Ya sea en casos de carga inmediata, rehabilitaciones complejas o tratamientos estéticos, estos provisionales están pensados para ofrecer estabilidad, previsibilidad y una mejor adaptación biológica desde el primer momento.

Preguntas frecuentes sobre provisionales funcionales
¿Cuál es la función principal de los provisionales funcionales?
Sirven para moldear tejidos, validar la estética y ajustar la oclusión antes de realizar la restauración definitiva.
¿Se utilizan solo como solución temporal?
No, su diseño busca aportar estabilidad y funcionalidad real durante la fase provisional del tratamiento.
¿En qué tipo de casos se utilizan estos provisionales?
En tratamientos de carga inmediata, rehabilitaciones complejas y procedimientos estéticos que requieren validación previa.
¿Qué beneficios ofrece su uso desde el primer momento?
Mejoran la adaptación biológica, reducen complicaciones y aumentan la previsibilidad del tratamiento final.
¿Cómo se integran en el flujo digital?
Forman parte del diseño CAD y se elaboran con exactitud para replicar los objetivos funcionales y estéticos del caso.
¿Estos provisionales se personalizan para cada paciente?
Sí, cada provisional funcional se diseña específicamente según las necesidades clínicas y estéticas del paciente.